Pnömotoraks, akciğer ile göğüs duvarı arasında bulunan, plevral boşluk olarak bilinen, hava birikimini tanımlar ve akciğerin kısmen ya da tamamen çökmesini ifade eder.
Patofizyoloji
Plevral boşlukta sıkışan hava akciğerlere basınç uygulayarak çökmesine neden olur. Plevral boşluktaki basınç normalde atmosferik basınca göre negatiftir. Akciğer yüzeyindeki veya göğüs duvarındaki yırtılma havanın plevral boşluğa girmesine izin vererek plevral boşluk ile atmosfer arasındaki basıncı dengeler ve basınç gradyanının kaybolmasına neden olur.
Türleri
Primer Spontan Pnömotoraks (PSP): Bilinen herhangi bir akciğer hastalığı olmaksızın ortaya çıkar. Genellikle genç, uzun boylu, zayıf bireylerde görülür.
İkincil Spontan Pnömotoraks (SSP): Kronik obstrüktif akciğer hastalığı (KOAH), tüberküloz veya kistik fibrozis gibi önceden var olan akciğer rahatsızlıkları olan bireylerde görülür.
Travmatik Pnömotoraks: Göğüste meydana gelen herhangi bir yaralanma veya travma sonucu plevral boşluğa hava girmesiyle oluşur. Kazalar, düşmeler veya tıbbi prosedürlerden kaynaklanabilir.
Tansiyon Pnömotoraks: Bu, havanın plevral boşluğa girdiği ancak çıkamadığı ciddi ve hayatı tehdit eden bir durumdur. Sıkışan hava göğüsteki basıncı artırarak akciğeri sıkıştırır ve kardiyovasküler fonksiyonu etkiler.
İyatrojenik Pnömotoraks: Akciğer biyopsileri, merkezi hat yerleştirilmesi veya mekanik ventilasyon gibi tıbbi prosedürlerin bir sonucu olarak ortaya çıkan pnömotorakstır.
Katamenial Pnömotoraks: Bu, kadınlarda menstrüasyon sırasında ortaya çıkan ve genellikle endometriozis ile ilişkili olan nadir bir pnömotoraks türüdür.
Fiziksel muayene
- İnspeksiyon: Göğüs duvarı genişlemesinde asimetri (etkilenen taraf etkilenmeyen tarafa göre daha az genişleme gösterecektir)
- Palpasyon: Taktil fremitusta azalma
- Perküsyon: Hiperrezonans
- Oskültasyon: Nefes ve ses seslerinde düşüş
Görüntüleme bulguları
Röntgen

- Hava hapsolmuş bölgede vasküler işaretlerin kaybı
- Akciğerin dış yüzeyini işaretleyen çizgilerin görünürlüğü
- Trakeanın etkilenmemiş tarafa doğru kayması
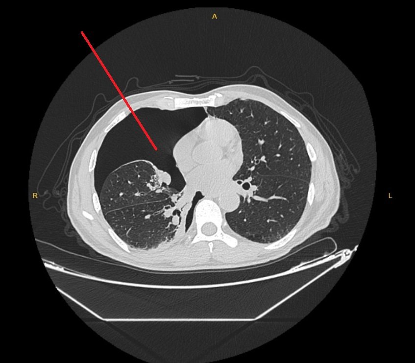
BT (Bilgisayarlı Tomografi)

- Gri tonlar yerine siyah alanlar hava dolu boşlukları belirtir
Laboratuvar testi
Kan gazı analizi, oksijen ve karbondioksit seviyelerinin değerlendirilmesinde yardımcı olur.
Tedavi
- Gözlem:
- Küçük, komplike olmayan pnömotorakslar özel bir müdahale olmaksızın kendiliğinden düzelebilir.
- Stabiliteyi sağlamak için göğüs röntgenleri aracılığıyla düzenli izleme yapılabilir.
- Aspirasyon (İğne Torasentezi):
- Daha büyük pnömotorakslarda, fazla havayı çıkarmak ve basıncı azaltmak için göğüs duvarından bir iğne sokulabilir.
- Bu genellikle acil durumlarda semptomları hafifletmek için yapılır.
- Göğüs Tüpü Yerleştirilmesi (Tüp Torakostomi):
- Havanın dışarı çıkmasını sağlamak ve akciğeri yeniden genişletmek için göğüs duvarından plevral boşluğa bir göğüs tüpü yerleştirilir.
- Bu, travmatik pnömotoraks veya tansiyon pnömotoraks için yaygın bir tedavidir.
- Plörodezis:
- Tekrarlayan vakalarda veya nüksün önlenmesi için plörodez adı verilen bir prosedür uygulanabilir.
- Bu, plevral boşlukta yapışıklıklar oluşturmak için iltihaplanmayı indüklemeyi içerir ve pnömotoraksın tekrarlanmasını önler.
- Ameliyat (Torakotomi):
- Bazı durumlarda, özellikle tekrarlayan veya büyük pnömotorakslar için cerrahi müdahale gerekli olabilir.
- Ameliyat, altta yatan akciğer defektinin onarılmasını ve gelecekteki hava sızıntılarının önlenmesini içerir.
- Oksijen Tedavisi:
- Oksijen verilmesi plevral boşluktaki havanın yeniden emilmesine yardımcı olabilir ve diğer tedavilerle birlikte kullanılabilir.
Kaynaklar
https://www.ncbi.nlm.nih.gov/books/NBK441885
