Koroner kalsiyum skoru, kalbi besleyen koroner arterlerin duvarlarında biriken kalsiyum miktarını gösteren sayısal bir değerdir. Bu skor, aterosklerotik plak yükünün objektif bir göstergesi olarak kabul edilir ve bireyin koroner arter hastalığı geliştirme riskini değerlendirmede önemli bir rol oynar.
Koroner kalsiyum skoru, özellikle semptomsuz bireylerde veya klasik risk faktörleri ile klinik tablo arasında uyumsuzluk bulunan durumlarda kardiyovasküler risk sınıflamasını daha doğru hale getirmek için kullanılır.

Bu içerik Kardiyoloji alanında değerlendirilen ve Tanı & Testler kategorisine ait bir konudur.
Koroner Kalsiyum Skoru Ne Anlama Gelir?
Koroner arterlerde kalsiyum birikimi, genellikle ileri aterosklerozun bir göstergesidir. Damar duvarında kalsifiye plakların bulunması, o bölgede uzun süredir devam eden damar sertliği sürecine işaret eder.
Koroner kalsiyum skoru arttıkça, kişinin gelecekte kalp krizi veya diğer kardiyovasküler olayları geçirme riski de artar. Bu nedenle skor, yalnızca mevcut durumu değil, aynı zamanda gelecekteki riskleri öngörmede de kullanılır.
Koroner Kalsiyum Skoru Nasıl Ölçülür?
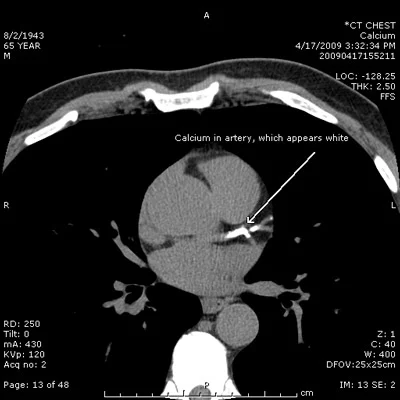
Koroner kalsiyum skoru, kontrastsız kardiyak bilgisayarlı tomografi (BT) ile ölçülür. Görüntüleme sırasında koroner arterlerdeki kalsifiye alanlar tespit edilir ve yoğunluklarına göre puanlandırılır.
Bu puanlama sistemi, en yaygın olarak Agatston skoru üzerinden yapılır. Agatston yöntemi, kalsifiye plakların hem yüzey alanını hem de yoğunluğunu dikkate alarak toplam bir skor oluşturur.
Koroner Kalsiyum Skoru ile Agatston Skoru Arasındaki İlişki
Koroner kalsiyum skoru genel bir kavramı ifade ederken, Agatston skoru bu kalsiyum miktarının standartlaştırılmış hesaplama yöntemidir. Klinik uygulamada koroner kalsiyum skoru denildiğinde çoğu zaman Agatston skoru kastedilir.
Bu nedenle, koroner kalsiyum skorunun klinik olarak yorumlanabilmesi için sayısal değerin Agatston yöntemiyle değerlendirilmesi gerekir.
Koroner Kalsiyum Skoru Değerleri Nasıl Yorumlanır?
Koroner kalsiyum skoru belirli aralıklara göre risk sınıflamasına tabi tutulur.
0 değeri, koroner arterlerde kalsiyum saptanmadığını ve kısa vadede koroner arter hastalığı riskinin çok düşük olduğunu gösterir.
1–99 arası skorlar hafif kalsiyum birikimini ve düşük-orta risk düzeyini düşündürür.
100–399 arası skorlar orta derecede aterosklerotik yükü ve belirgin artmış kardiyovasküler riski gösterir.
400 ve üzeri skorlar ise ileri derecede kalsifikasyon ve yüksek kardiyovasküler olay riskine işaret eder.
Klinik Önemi
Koroner kalsiyum skoru, geleneksel risk faktörlerine ek olarak doğrudan damar duvarını değerlendirmesi nedeniyle büyük klinik değer taşır. Özellikle statin tedavisi gibi koruyucu yaklaşımların planlanmasında karar destek aracı olarak kullanılır.
Ancak bu skorun tek başına tanı koydurucu olmadığı, klinik bulgular ve diğer tanı yöntemleri ile birlikte değerlendirilmesi gerektiği unutulmamalıdır.
Kimlerde Koroner Kalsiyum Skoru Ölçülür?
Koroner kalsiyum skoru genellikle orta risk grubundaki erişkinlerde, ailesinde erken yaşta kalp hastalığı öyküsü bulunan bireylerde ve klasik risk skorlarının yetersiz kaldığı durumlarda tercih edilir. Düşük riskli genç bireylerde rutin kullanım genellikle önerilmez.
Sık Sorulan Sorular
Koroner kalsiyum skoru normal ise kalp hastalığı olmaz mı?
Skorun 0 olması kalsifiye plak olmadığını gösterir ancak yumuşak plak varlığı tamamen dışlanamaz.
Koroner kalsiyum skoru zamanla artar mı?
Evet. Risk faktörleri kontrol altına alınmazsa skor yıllar içinde artış gösterebilir.
Bu test herkese yapılmalı mı?
Hayır. Test, uygun hasta grubunda ve klinik gereklilik doğrultusunda yapılmalıdır.
İlgili Tıbbi Terimler
Agatston skoru, koroner arter hastalığı, ateroskleroz, kardiyak BT, kardiyovasküler risk
Klinik kullanım ve risk değerlendirme ilkeleri, Mayo Clinic ve NICE tarafından yayımlanan güncel kardiyoloji rehberleri ile uyumludur.
⚠️ Sorumluluk Reddi
Bu içerik yalnızca tıbbi bilgilendirme amacıyla hazırlanmıştır. Tanı ve tedavi süreçlerinde klinik değerlendirme esastır ve kendi kendine tanı amacıyla kullanılamaz.